
Седловидная матка - это порок развития женского детородного органа (матки), подразумевающий под собой расщепление дна матки в форме седла. Эта форма матки является одной из разновидностей такого порока, как двурогая матка.
В наше время медицина все больше и больше развивается, и диагностика пороков с каждым годом усовершенствуется, но, к сожалению, существуют пороки развития, обнаружение которых является невозможным. До определенного периода. Как в случае нашей темы, при наступлении беременности или же при возникновении проблем с ней.
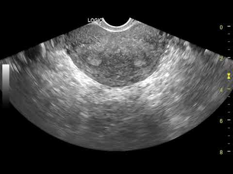
Статистику порока седловидной матки составить затруднительно, потому как протекает данный порок бессимптомно и выявляется только во время ультразвукового исследования. Зачастую об этом диагнозе узнают во время наступившей беременности.
Седловидная матка часто сочетается с пороками мочевыделительной системы, узким тазом, а также внутриматочной перегородкой.
Каковы же причины формирования седловидной матки?
Особо опасный период для формирования у плода седловидной матки- это 12-14 неделя. На этих сроках происходит сращение Мюллеровых отростков, из которых далее формируется матка. Если в эти сроки происходит влияние негативных факторов на организм женщины, то у плода женского пола высока вероятность формирования данного порока развития.
К негативным факторам относят такие состояния женщины во время беременности:
- длительный гестоз 1 половины беременности;
- гипоксия плода;
- токсоплазмоз в острой форме;
- краснуха;
- сифилис;
- грипп.
Так же пагубно влияет на нормальное развитие матки алкоголь, наркотические препараты, никотин. К причинам образования седловидной матки можно отнести также прием тератогенных препаратов во время беременности. Даже такой фактор как стресс беременной, который имеет место быть неоднократно, может привести к развитию данного порока.
Нередко заболевания со стороны эндокринной системы, приводящие к нарушениям обменных процессов (сахарный диабет, тиреотоксикоз) могут провоцировать развитие седловидной матки у плода.
Стоит обозначить, что из всех видов двурогой матки седловидная является наиболее «легким» пороком.
Каковы симптомы седловидной матки?
Женщина может узнать о седловидной матке, как было сказано выше, из результатов ультразвукового исследования, а также во время своей беременности. Связано это с тем, что женщины никогда не связывают болезненные менструации, обильные менструации, тазовую боль с дефектами матки.

Если деформация матки выражена незначительно, то она практически никогда не приводит к бесплодию, патологическому течению беременности и родам. Но когда же седловидная матка имеет выраженную форму, имеет место разговор о проблемах первичного бесплодия. По статистике седловидная матка приводит к бесплодию лишь в 3 % случаев.
У беременных женщин с данной патологией случаются частые самопроизвольные аборты, неправильное прикрепление плаценты (краевое, центральное, низкое), отслойка плаценты, неправильные положения плода в матке, повышаются риски угрозы преждевременных родов.
Беременность при седловидной матке
Были проведены исследования репродуктивной функции у женщин с седловидной маткой. В результате них было выявлено, что носителями первичного бесплодия чаще выступают женщины с двурогой маткой. А у представительниц прекрасного пола с седловидной маткой чаще встречается вторичное бесплодие. У женщин с седловидной маткой стенки ее неполноценны и в плане анатомии, и в плане физиологии. Именно поэтому происходят затруднения в прикреплении плодного яйца, а если оно прикрепилось, то в его кровоснабжении, далее - в расположении. Зачастую по данным причинам наблюдается гипоксия плода. Данное состояние оказывает пагубное влияние на развитие плода, часто встречается его замедление и, как следствие, его отставание в росте и развитии. К внутриутробной гибели плода приводит недостаточное кровоснабжение, из-за которого питательные вещества не в достаточной мере доставляются к плоду, но самое страшное –это недостаток кислорода. Так же к внутриутробной гибели плода может приводить отслойка плаценты, которая тоже связана с недостаточностью стенок матки и плохим их кровоснабжением.
Предсказать исход беременности при наличии седловидной матки невозможно. Все зависит от степени ее деформации.
Диагностика седловидной матки
Следует сразу отметить, что рутинный гинекологический осмотр не даст результатов в диагностике седловидной матки. Уж очень это «тонкая организация» и, пропальпировав руками, тяжело распознать данную патологию. Поэтому используются другие методы диагностики. К ним можно отнести:

- ультразвуковое исследование органов малого таза;
- гистероскопия;
- магнитно-резонансная томография;
- гистеросальпингография.
Рассмотрим подробнее каждый из методов:
На ультразвуковом исследовании органов полости малого таза матка определяется в виде седла. Но этот метод не всегда позволяет выявить данный порок. Так, при незначительной деформации матки не всегда визуализируется седловидная матка. Для более точной диагностики ультразвуковое исследование лучше проводить во вторую фазу цикла. Объясняется это тем, что толщина эндометрия (ткани, выстилающей полость матки) достигает максимального значения. Именно это и позволяет доктору увидеть деформированную полость матки.
МРТ (магнитно-резонансная томография) матки. К данному методу, как правило, женщина прибегает в случае каких-либо сомнительных результатов ультразвукового исследования. МРТ может проводиться без введения контраста и, соответственно, с введением контраста в организм пациентки. К сожалению, данный метод не столь распространен в диагностике седловидной матки.
Гистероскопия –это метод исследования полости матки с помощью специального прибора под названием гистероскоп. Он представляет собой полую гибкую трубку с оптической системой, с помощью которой доктор изучает внутреннюю полость матки. Если два вышеперечисленных метода не являлись инвазивными, то данный метод относится к малоинвазивным методам исследования
Гистеросальпингография подразумевает под собой исследование полости матки и полости маточных труб с помощью рентгенологического исследования. При этом применяется контраст, который вводится в полость матки с помощью специального зонда, далее делаются рентгенологические снимки. Описанный метод является наиболее информативным, потому что, распределяясь, контраст четко выделяет контуры полости матки. Благодаря этому на снимках визуализируется углубление на дне матки-седловидная форма.
Возможна ли беременность при седловидной матке?
Как было сказано выше, седловидная матка является самым «легким» пороком развития матки. Но и при таком раскладе существуют проблемы с зачатием. Но, к счастью, подобных случаев мало. Поэтому о проблемах первичного бесплодия таким женщинам задумываться приходится редко. Но, все-же, оно может встречаться. В таком случае с фактором первичного бесплодия существует только один метод борьбы. И это пластическое восстановление анатомической формы матки. Данная операция проводится вагинальным путем с помощью гистероскопа. Данная процедура малоинвазивная и приносит минимум дискомфорта для женщины. При этом значительно повышает шансы на беременность. Если же после данного вмешательства беременность не наступает (чего практически не встречается), то существует вариант усыновления ребеночка или же услуга суррогатного материнства.
Как профилактировать формирование седловидной матки у плода?
Какой-то специальной профилактики развития седловидной матки не существует. Паре, которая хочет ребеночка нужно планировать беременность. Подходить к этому вопросу очень ответственно. В первую очередь отказаться от вредных привычек еще задолго до наступления беременности (т.е. на этапе планирования). При чем, сделать это следует не только будущей маме, но и отцу. Нужно избавиться от острых заболеваний, а хронические –пролечить. Обязательно нужно просанировать очаги инфекции. При наступлении беременности будущей мамочке нужно избегать влияния всевозможных стрессов. Включать в свой рацион разнообразную и полезную пищу. Если же все-таки вам пришлось столкнуться с заболеваниями во время беременности, то их своевременно нужно лечить, предотвращая инфицирование плода.
Сочетание седловидной матки с другими пороками развития
Как было сказано выше седловидная матка чаще сочетается с пороками мочевыделительной системы, узким тазом, внутриматочной перегородкой.
Давайте разбираться, почему же так происходит? Формирование одновременно нескольких пороков у плода связано с тем, что влияние какого-либо негативного фактора происходит примерно в одно и то же время развития плода. Воздействуя, негативный фактор, нарушает процесс формирования органов, впоследствии приводя к порокам развития данных органов. Следует отметить, что если седловидная матка сочетается с другими пороками развития, то процент первичного бесплодия возрастает.
Как лечить седловидную матку и стоит ли?
К лечению седловидной матки прибегают редко, потому что она, в основном, протекает бессимптомно. О ее лечении женщина задумывается только тогда, когда сталкивается с бесплодием и привычным невынашиванием плода. Тогда вопрос о лечении этого порока «становится ребром». Но проводят его при условии отсутствия других врожденных пороков. Доктора находят выход, проводя оперативную реконструктивную пластику матки, не повреждая насквозь ее стенки. Проводится операция малоинвазивным методом с помощью гистероскопа. Разрез в области живота и стенки матки не проводится. Выполняется операция влагалищным доступом, требует минимальных затрат женского организма на наркоз, так как проводится быстро.
Поэтому, сделаем вывод: лечить седловидную матку нужно по строгим показаниям, если этот диагноз препятствует репродуктивной функции женщины.

Ведение беременности при диагнозе «седловидная матка»:
За беременностью у женщин с седловидной маткой требуется тщательное наблюдение. Поэтому частота посещений врача женской консультации увеличивается. В 1 и 2 триместре женщина должна показываться 1 раз в 14 дней, а в 3 триместре 1 раз в 7 дней. Обязательное проведение допплерометрии плода. Делается это для того, чтобы не пропустить гипоксии плода (кислородного голодания) и, как следствие, задержки развития плода. При предлежании плаценты рекомендуют вести себя максимально осторожно, чтобы не спровоцировать тонус матки, который может привести к отслойке плаценты, кровотечению и внутриутробной гибели плода.
Выводы
Из всего вышесказанного можно сделать выводы. Суть их заключается в том, что такой порок как седловидная матка, не является чем-либо угрожающим для жизни. Но выраженная форма порока может приводить к трудностям в репродуктивной сфере здоровья женщины. Поэтому, чтобы предотвратить данное заболевание у своего потомства, любая женщина должна тщательно следить за своим здоровьем на этапе планирования беременности. Не допускать влияния вредных факторов на любом этапе беременности, а в особенности 1 и 2 триместре, когда идет закладка органов. Если все соблюдать, отказаться от вредных привычек, то возможно рождение деток без пороков развития каких-либо органов.
Комментарии
Седловидной маткой называют порок развития, в результате которого матка формируется с дефектом дна.